宮城県黒川郡大和町の橘高第二歯科 痛くない歯科治療で介護や在宅の方からも人気です。

自信のある歯は人を笑顔にします

歯に自信があると、人に笑顔を見せたくなるものです。
気になる歯の着色や黄ばみを、歯を削らずに白くするのが「歯のホワイトニング」。
 橘高第二歯科では、いろいろなホワイトニングをご用意しており、それらを患者さんの都合に合わせてご提案いたしますのでお気軽にご相談ください。

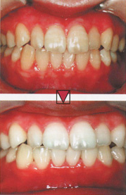
ホワイトニング

歯肉がコーラルピンクに変わったり歯牙が白く輝きを増したりするのは、とても楽しく気持ちも軽やかになります。ホワイトニングジェル(お薬)に対してアレルギー反応の無い方には、手軽にお試し頂けます。
 歯肉の場合 、2週ごとの4回で美しいピンク色に改善。
歯牙の場合は、LED3回照射x4日で白くなります。
ホワイトニングは約40分間のお時間を頂いており、完全予約制となっております。

P.M.T.C(クリーニング)

どんな方も、お口の中に200〜600種類の細菌が住みついています。
その細菌が、歯の周りにある歯周ポケットの中に沢山たまっています。
それを柔らかいゴムのチップや、小さなブラシを使って一本一本の歯のすき間や歯周ポケットの中まできれいにして行く技術です。
その結果、歯周病が改善され、口臭がなくなり、タバコのヤニも取れて、お口の中がスッキリします。
 歯肉に炎症がある時は、歯肉を改善してから行います。